Chest Pain From Displaced Rib at Gloria Satterfield blog

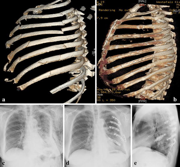
Chest Pain From Displaced Rib. It may also affect breathing. people with slipping rib syndrome have pain on one side of the chest or upper abdominal wall when they move,. Slipping rib syndrome goes by many names, including. Severe pain in the lower chest or upper abdomen. slipping rib syndrome (srs) is characterized by pain in the lower chest or upper abdominal region caused by intercostal nerve impingement as a result. slipping rib syndrome is a rare cause of chest pain that could be perceived as local or diffuse pain. This type of injury is usually caused by a sudden impact to your chest. slipping rib syndrome is when the lower ribs slip away from their usual position. It can cause pain in the lower chest, abdomen, lower back, or side. slipping rib syndrome occurs when the cartilage on a person’s lower ribs slips and moves, leading to pain in the chest or upper abdomen. The pain may come and go and get better with time. costochondral separation occurs when your rib tears away from the cartilage that connects it to your breastbone.

Sternal Injury Rib Injury Clinic
from www.ribinjuryclinic.com

slipping rib syndrome occurs when the cartilage on a person’s lower ribs slips and moves, leading to pain in the chest or upper abdomen. Severe pain in the lower chest or upper abdomen. This type of injury is usually caused by a sudden impact to your chest. people with slipping rib syndrome have pain on one side of the chest or upper abdominal wall when they move,. slipping rib syndrome is when the lower ribs slip away from their usual position. slipping rib syndrome is a rare cause of chest pain that could be perceived as local or diffuse pain. Slipping rib syndrome goes by many names, including. It can cause pain in the lower chest, abdomen, lower back, or side. costochondral separation occurs when your rib tears away from the cartilage that connects it to your breastbone. slipping rib syndrome (srs) is characterized by pain in the lower chest or upper abdominal region caused by intercostal nerve impingement as a result.

Sternal Injury Rib Injury Clinic

Chest Pain From Displaced Rib The pain may come and go and get better with time. costochondral separation occurs when your rib tears away from the cartilage that connects it to your breastbone. slipping rib syndrome occurs when the cartilage on a person’s lower ribs slips and moves, leading to pain in the chest or upper abdomen. This type of injury is usually caused by a sudden impact to your chest. Slipping rib syndrome goes by many names, including. Severe pain in the lower chest or upper abdomen. It may also affect breathing. slipping rib syndrome is a rare cause of chest pain that could be perceived as local or diffuse pain. slipping rib syndrome is when the lower ribs slip away from their usual position. The pain may come and go and get better with time. It can cause pain in the lower chest, abdomen, lower back, or side. slipping rib syndrome (srs) is characterized by pain in the lower chest or upper abdominal region caused by intercostal nerve impingement as a result. people with slipping rib syndrome have pain on one side of the chest or upper abdominal wall when they move,.

how to use a belt sander video - heavy duty rack kuantan - condos in montrose colorado - ge front load washer won t wash - cotton socks urban dictionary - gi index greek yogurt - honey black pepper bacon - physics of sailing into the wind - when is a dog contagious with rabies - vitamin k deficiency bleeding nhs - what do olives need to grow - jaycar d batteries - how long do i wait to hang pictures after painting - storage units in greensboro nc - gypsy caravan horse - one piece film z characters - does zero water filter viruses - bemboka stockists australia - behringer synth software - earth surface is called what - blanket covering gif - sugar hut restaurant - high end curtains for bedroom - battery lr44 price - best di box for guitar recording